리드힐, 척추센터
	척추측만증
	
		정상척추는 정면에서 볼 때 일직선이며, 측면에서 볼때는 S자 모양으로 보이는데 척추측만증은 척추가 옆으로 휘어지면서
척추 몸통이 회전하며 돌아가는 상태를 말합니다. 
		이때 골반불균형을 유발하여 만성적인 통증 및 목과 허리의 디스크로 진행될 수 있습니다.
	
	
	
	리드힐에서는 척추측만증
	이렇게 치료합니다!
	
	
		
			
 
			- 
				물리치료
				
					온열치료, 전기치료, 초음파, 체외충격파  등을 이용해 인대나 힘줄을 구성하는 콜라겐 섬유소를 자극하여 조직의 재생을 돕고 염증을 완화시켜 줍니다. 
				
			
 
		
		
			
 
			- 
				도수치료
				
					숙련된 물리치료사의 손으로 직접 관절의 가동범위를 넓혀주고 척추의 정렬을 맞춰주는 치료입니다.
				
			
 
		
	 
	
		
			
 
			- 
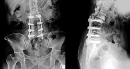
				척추 유합술
				
					복부를 최소한으로 절개하여 통증을 일으키는 손상된 뼈나 디스크를 제거하고 유합용 고정장치를 이용해 척추를 안정하게 고정시키는 수술입니다.